Anti-MUC1 Antibody
Mouse monoclonal antibody to MUC1
- SPECIFICATION
- CITATIONS
- PROTOCOLS
- BACKGROUND

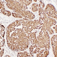
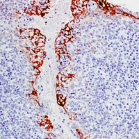
Application
| WB, IHC |
|---|---|
| Primary Accession | P15941 |
| Reactivity | Human |
| Host | Mouse |
| Clonality | Monoclonal |
| Calculated MW | 122102 Da |
| Gene ID | 4582 |
|---|---|
| Other Names | PUM; Mucin-1; MUC-1; Breast carcinoma-associated antigen DF3; Cancer antigen 15-3; CA 15-3; Carcinoma-associated mucin; Episialin; H23AG; Krebs von den Lungen-6; KL-6; PEMT; Peanut-reactive urinary mucin; PUM; Polymorphic epithelial mucin; PEM; Tumor-associated epithelial membrane antigen; EMA; Tumor-associated mucin; CD227 |
| Target/Specificity | KLH-conjugated synthetic peptide encompassing a sequence within human MUC1. The exact sequence is proprietary. |
| Dilution | WB~~1:1000 IHC~~1:100~500 |
| Format | Mouse IgG2b. Liquid in PBS containing 50% glycerol, 0.2% BSA and 0.09% (W/V) sodium azide. |
| Storage | Store at -20 °C.Stable for 12 months from date of receipt |
| Name | MUC1 |
|---|---|
| Synonyms | PUM |
| Function | The alpha subunit has cell adhesive properties. Can act both as an adhesion and an anti-adhesion protein. May provide a protective layer on epithelial cells against bacterial and enzyme attack. |
| Cellular Location | Apical cell membrane; Single-pass type I membrane protein. Note=Exclusively located in the apical domain of the plasma membrane of highly polarized epithelial cells After endocytosis, internalized and recycled to the cell membrane Located to microvilli and to the tips of long filopodial protusions [Isoform Y]: Secreted. [Mucin-1 subunit beta]: Cell membrane. Cytoplasm. Nucleus. Note=On EGF and PDGFRB stimulation, transported to the nucleus through interaction with CTNNB1, a process which is stimulated by phosphorylation. On HRG stimulation, colocalizes with JUP/gamma-catenin at the nucleus |
| Tissue Location | Expressed on the apical surface of epithelial cells, especially of airway passages, breast and uterus. Also expressed in activated and unactivated T-cells. Overexpressed in epithelial tumors, such as breast or ovarian cancer and also in non-epithelial tumor cells. Isoform Y is expressed in tumor cells only |

Thousands of laboratories across the world have published research that depended on the performance of antibodies from Abcepta to advance their research. Check out links to articles that cite our products in major peer-reviewed journals, organized by research category.
info@abcepta.com, and receive a free "I Love Antibodies" mug.
Provided below are standard protocols that you may find useful for product applications.
Background
KLH-conjugated synthetic peptide encompassing a sequence within human MUC1. The exact sequence is proprietary.
If you have used an Abcepta product and would like to share how it has performed, please click on the "Submit Review" button and provide the requested information. Our staff will examine and post your review and contact you if needed.
If you have any additional inquiries please email technical services at tech@abcepta.com.





Foundational characteristics of cancer include proliferation, angiogenesis, migration, evasion of apoptosis, and cellular immortality. Find key markers for these cellular processes and antibodies to detect them.
The SUMOplot™ Analysis Program predicts and scores sumoylation sites in your protein. SUMOylation is a post-translational modification involved in various cellular processes, such as nuclear-cytosolic transport, transcriptional regulation, apoptosis, protein stability, response to stress, and progression through the cell cycle.
The Autophagy Receptor Motif Plotter predicts and scores autophagy receptor binding sites in your protein. Identifying proteins connected to this pathway is critical to understanding the role of autophagy in physiological as well as pathological processes such as development, differentiation, neurodegenerative diseases, stress, infection, and cancer.



